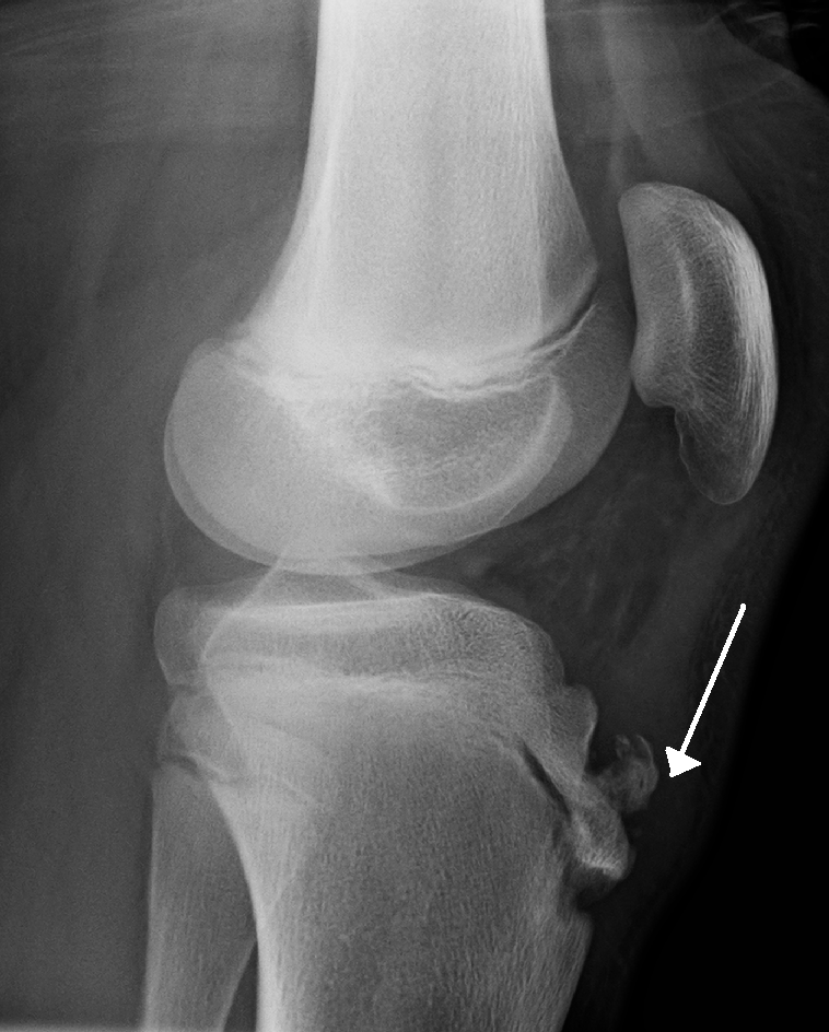
Gender: Male. x-ray. Symptomatic right knee: Fragmented apophysis at tibial tuberosity. Overlying soft tissue swelling is noted. Soft tissue haziness is noted in inferior most part of fat pad; obliterating shadow of inferior most part of patellar ligament. Asymptomatic left knee: No fragmented apophysis at tibial tuberosity.. 3.1 X-Ray. Radiological findings in Osgood-Schlatter disease depend on the severity of disease and differ during the acute and chronic phases. A typical appearance on a radiograph during the acute phase is blurring of the margins of the patellar tendon due to soft tissue swelling. Thickening of the ligamentum patellae can also sometimes be seen.

OsgoodSchlatter Disease tenderness in the knees Greg Robinson Podiatrist

Röntgen Knie Osgood Schlatter Ausriss Fraktur Stockfotografie Alamy

Knee pain in the growing child OsgoodSchlatter disease PhysioX Pte Ltd

OsgoodSchlatter Disease wikiRadiography

Osgood Schlatter Disease Full Detailed OrthoFixar 2023

Cureus OsgoodSchlatter Lesion Removed Arthroscopically in an Adult Patient

Osgood Schlatter disease Image

OSGOOD SCHLATTER RADIOLOGY XRAY (VIDEO) Radedasia

Osgood Schlatter Disease X Ray

OsgoodSchlatter Disease Radiology at St. Vincent's University Hospital

OsgoodSchlatter disease Radiology Reference Article Osgood schlatter

OsgoodSchlatter Disease wikiRadiography

OsgoodSchlatter disease BMJ Case Reports

Xray of Osgood Schlatter Disease YouTube

OsgoodSchlatter Disease wikiRadiography

Osgood Schlatter Disease X Ray

Cureus OsgoodSchlatter Disease as a Possible Cause of Tibial Tuberosity Avulsion

OsgoodSchlatter's Disease (Knee)

OsgoodSchlatter Disease MSK Radiology Imaging Findings GrepMed

Blog de José Carlos Mora Enfermedad de OsgoodSchlatter
Osgood-Schlatter Disease; Other names: Apophysitis of the tibial tubercle, Lannelongue's disease, osteochondrosis of the tibial tubercle: Lateral view X-ray of the knee demonstrating fragmentation of the tibial tubercle with overlying soft tissue swelling.: Specialty: Orthopedics: Symptoms: Painful bump just below the knee, worse with activity and better with rest. In addition to a complete medical history and physical examination, diagnostic procedures for Osgood-Schlatter disease may include: X-rays. A diagnostic test that uses invisible electromagnetic energy beams to produce images of internal tissues, bones, and organs onto film. X-rays may be performed to rule out other lesions.